USC Mark and Mary Stevens Neuroimaging and Informatics Institute
Keck School of Medicine of USC
University of Southern California
323-44-BRAIN (323-442-7246)
About INI
About INI
Facilities
Core Resources
Contact
Contact us
Terms of Use
Privacy Policy
Powered by
INI
LONI
NIIN
CIC
CIA
IGC
License Agreement
People
News & Reports
People
Other Cool Stuff
Other Cool Stuff
Careers
Careers
Support the INI
Support Us
Subscribe to Newsletter
News & Reports
In This Issue
USC Mark and
Mary Stevens
Neuroimaging
and Informatics
Institute
NEWSLETTER
Featured Press Releases
New research from Victoria R. Tennant, a PhD candidate in USC’s Neuroscience Graduate Program, and Meredith N. Braskie, PhD, has identified a new brain imaging benchmark that may improve how researchers classify biologically meaningful changes associated with Alzheimer’s disease, especially in Hispanic and non-Hispanic white populations. The new study, published in Imaging Neuroscience, is part of the Health and Aging Brain Study–Health Disparities (HABS-HD), a multi-university collaboration led by the University of North Texas Health Science Center and supported by the National Institute on Aging.
A new brain imaging benchmark to classify changes associated with Alzheimer’s disease
We’re proud to share new research from Amaryllis Tsiknia, a PhD candidate in USC’s Neuroscience Graduate Program, and Meredith N. Braskie, PhD, revealing a significant link between type 2 diabetes and brain health in older adults. Using neuroimaging data from a large, diverse cohort, the study found that individuals with type 2 diabetes had thinner cortices in regions critical for memory and cognition. These findings underscore the importance of blood sugar management in protecting brain health and highlight the need for tailored interventions across different populations.
A significant link between type 2 diabetes and brain health in older adults
This animation shows how focused ultrasound and tiny microbubbles can temporarily open the brain’s protective barrier, making it easier and safer to deliver treatments directly to the brain without surgery.
Discover how the Stevens INI became a global leader in brain research. Our 10th Anniversary Lookbook offers a stunning visual journey through ten years of innovation, collaboration, and impact—take a look inside!
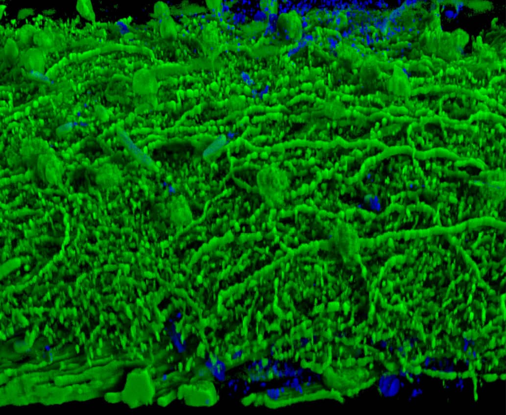
A mass of white matter tracts in the human brain.
Using a special type of MRI scan, we found that blood flow in the brain gradually decreases across the stages of Alzheimer’s disease. This drop is most noticeable in areas linked to memory and thinking.
Neda Jahanshad, PhD, completed Chapter 33, Multicenter studies and harmonization: Problems, solutions, and open challenges in the new Handbook of Diffusion MR Tractography. Combining diffusion magnetic resonance imaging (dMRI) across scanners and sites can improve our understanding of the human brain in health and disease. But differences in how the data are collected make it hard to analyze everything together. This chapter examines the origins of these differences, the approaches researchers take to address them, and the challenges that remain as brain imaging studies expand in scope.
Publications by several Institute members were recognized as among the top 10% of most-viewed papers published by Wiley in 2023:
Transformer-based deep learning denoising of single and multi-delay 3D arterial spin labeling
Retinal perfusion is linked to cognition and brain MRI biomarkers in Black Americans
Weakly supervised perivascular spaces segmentation with salient guidance of Frangi filter
Comparison of genetic and health risk factors for mild cognitive impairment and Alzheimer’s disease between Hispanic and non-Hispanic white participants
Publication Spotlight
Education
Congratulations to Christina Choi for her USC Provost Research Fellowship! Christina will work with Hosung Kim, PhD, on her project.
“My study uses advanced brain imaging to explore whether problems with the brain’s waste-clearing system are linked to early buildup of a protein called alpha-synuclein and changes in dopamine function—both of which may play a role in the early stages of Parkinson’s disease (PD). Identifying such correlations could help establish novel biomarkers for early PD progression.”
Congratulations also to Andrew Kim for his Parkinson’s Foundation grant! Andrew will also work with Hosung Kim, PhD, on his project.
“My project investigates the role of the brain’s glymphatic system in the early stages of Parkinson’s disease (PD). By analyzing imaging data, I aim to identify whether dysfunction in this waste-clearance system correlates with dopamine loss and clinical symptoms. If successful, this research could establish glymphatic function as a novel biomarker for early diagnosis and potential therapeutic intervention in PD.”
Students from Occidental College visited the Institute as a part of their computational neuroscience course. They gained firsthand exposure to our cutting-edge neuroimaging technologies and discussed data science applications in brain research. The visit offers a unique opportunity to engage with our faculty and explore real-world applications of computational methods in neuroscience.
With new funding from the National Institute on Aging, Neda Jahanshad, PhD, and our Laboratory of Brain eScience (LoBeS) will utilize AI and brain scans to track the progression of Alzheimer’s disease—and how lifestyle factors, such as diet and exercise, may help. The goal is to develop personalized, brain-wide prediction tools to guide early treatment and prevention.
Dr. Jahanshad has also been selected to join the global CARE (Cutting Alzheimer’s Risk through Endocrinology) program from Wellcome Leap, a leading organization that funds unconventional scientific breakthroughs. She will lead a groundbreaking three-year project aimed at better understanding how menopause and modifiable lifestyle factors influence brain aging in women.
New Funding
Neda Jahanshad, PhD
Summer 2025
Recent Visualizations
Danny JJ Wang, PhD, played a leading role in the 2025 SMARTA MRI Workshop in Lagos, Nigeria. He led sessions on arterial spin labeling (ASL) techniques and data analysis, supporting the workshop’s mission to expand MRI access and training across Africa. His contributions reflect our ongoing commitment to global education, equitable access to imaging technologies, and capacity building in resource-limited settings.
At the 2025 Organization for Human Brain Mapping (OHBM) annual meeting, Stevens INI Associate Director Paul M. Thompson, PhD, delivered the prestigious Talairach Lecture, outlining a bold vision for harnessing artificial intelligence and worldwide collaboration to combat brain diseases.
Honor Roll
Christina Choi
Andrew Kim
Neda Jahanshad, PhD, was selected as the 2025 OHBM Open Science Award Winner. The award was presented at the Organization for Human Brain Mapping (OHBM) annual meeting in Brisbane, Australia. Dr. Jahanshad was recognized for her significant contributions to open science practices in the field of human brain mapping.
Dr. Thompson has also been selected as the recipient of the 2025 Gold Medal Award from the Society of Biological Psychiatry (SOBP). This prestigious honor recognizes individuals whose groundbreaking work has significantly advanced the field of biological psychiatry.
Awarded by our Institute, the 7T MRI Discovery Award supports innovative pilot projects that leverage the power of ultra-high-field 7 Tesla MRI to advance neuroscience research.
Dr. Fan’s winning proposal focuses on improving care for patients with mild traumatic brain injury (mTBI), which accounts for over 90% of TBI cases seen in hospitals. While considered “mild,” up to 30% of adults with mTBI experience lasting cognitive issues beyond three months. Dr. Fan aims to refine a novel hybrid perfusion and permeability MRI technique at 7T and evaluate its potential to predict cognitive outcomes six months after injury—paving the way for earlier interventions and better long-term care.
Drs. Azevedo and Sati are using advanced brain imaging with 7T MRI to get a closer look at the damage inside MS lesions and how well that tissue might heal. Multiple sclerosis (MS) is the most common cause of non-traumatic neurologic disability in young adults in the US. MS affects people in very different ways, making it hard to predict how the disease will progress or how well someone will respond to treatment. Their work could lead to new ways of using MRI to track disease severity and evaluate treatments in future clinical trials.
Congratulations to Zhaoyang Fan, PhD, Christina Azevedo, MD, MPH, FAAN, and Pascal Sati, PhD, recipients of this year’s 7T MRI Discovery Award!
Zhaoyang Fan, PhD
Christina Azevedo, MD, MPH, FAAN
Pascal Sati, PhD
USC Mark and Mary Stevens Neuroimaging and Informatics Institute
Keck School of Medicine of USC
University of Southern California
323-44-BRAIN (323-442-7246)
Contact us
Terms of Use
Privacy Policy
Powered by
INI
LONI
NIIN
CIC
CIA
IGC
License Agreement
Subscribe to Newsletter
About INI
About INI
Facilities
Core Resources
Contact
People
News & Reports
People
Other Cool Stuff
Other Cool Stuff
Careers
Careers
Support the INI
Support Us
News & Reports
In This Issue
USC Mark and
Mary Stevens
Neuroimaging
and Informatics
Institute
USC Mark and
Mary Stevens
Neuroimaging
and Informatics
Institute
NEWSLETTER
Featured Press Releases
New research from Victoria R. Tennant, a PhD candidate in USC’s Neuroscience Graduate Program, and Meredith N. Braskie, PhD, has identified a new brain imaging benchmark that may improve how researchers classify biologically meaningful changes associated with Alzheimer’s disease, especially in Hispanic and non-Hispanic white populations. The new study, published in Imaging Neuroscience, is part of the Health and Aging Brain Study–Health Disparities (HABS-HD), a multi-university collaboration led by the University of North Texas Health Science Center and supported by the National Institute on Aging.
A new brain imaging benchmark to classify changes associated with Alzheimer’s disease
We’re proud to share new research from Amaryllis Tsiknia, a PhD candidate in USC’s Neuroscience Graduate Program, and Meredith N. Braskie, PhD, revealing a significant link between type 2 diabetes and brain health in older adults. Using neuroimaging data from a large, diverse cohort, the study found that individuals with type 2 diabetes had thinner cortices in regions critical for memory and cognition. These findings underscore the importance of blood sugar management in protecting brain health and highlight the need for tailored interventions across different populations.
A significant link between type 2 diabetes and brain health in older adults
This animation shows how focused ultrasound and tiny microbubbles can temporarily open the brain’s protective barrier, making it easier and safer to deliver treatments directly to the brain without surgery.
Discover how the Stevens INI became a global leader in brain research. Our 10th Anniversary Lookbook offers a stunning visual journey through ten years of innovation, collaboration, and impact—take a look inside!
A mass of white matter tracts in the human brain.
Using a special type of MRI scan, we found that blood flow in the brain gradually decreases across the stages of Alzheimer’s disease. This drop is most noticeable in areas linked to memory and thinking.
Neda Jahanshad, PhD, completed Chapter 33, Multicenter studies and harmonization: Problems, solutions, and open challenges in the new Handbook of Diffusion MR Tractography. Combining diffusion magnetic resonance imaging (dMRI) across scanners and sites can improve our understanding of the human brain in health and disease. But differences in how the data are collected make it hard to analyze everything together. This chapter examines the origins of these differences, the approaches researchers take to address them, and the challenges that remain as brain imaging studies expand in scope.
Publications by several Institute members were recognized as among the top 10% of most-viewed papers published by Wiley in 2023:
Transformer-based deep learning denoising of single and multi-delay 3D arterial spin labeling
Retinal perfusion is linked to cognition and brain MRI biomarkers in Black Americans
Weakly supervised perivascular spaces segmentation with salient guidance of Frangi filter
Comparison of genetic and health risk factors for mild cognitive impairment and Alzheimer’s disease between Hispanic and non-Hispanic white participants
Publication Spotlight
Education
Congratulations to Christina Choi for her USC Provost Research Fellowship! Christina will work with Hosung Kim, PhD, on her project.
“My study uses advanced brain imaging to explore whether problems with the brain’s waste-clearing system are linked to early buildup of a protein called alpha-synuclein and changes in dopamine function—both of which may play a role in the early stages of Parkinson’s disease (PD). Identifying such correlations could help establish novel biomarkers for early PD progression.”
Congratulations also to Andrew Kim for his Parkinson’s Foundation grant!
Andrew will also work with Hosung Kim, PhD, on his project.
“My project investigates the role of the brain’s glymphatic system in the early stages of Parkinson’s disease (PD). By analyzing imaging data, I aim to identify whether dysfunction in this waste-clearance system correlates with dopamine loss and clinical symptoms. If successful, this research could establish glymphatic function as a novel biomarker for early diagnosis and potential therapeutic intervention in PD.”
Students from Occidental College visited the Institute as a part of their computational neuroscience course. They gained firsthand exposure to our cutting-edge neuroimaging technologies and discussed data science applications in brain research. The visit offers a unique opportunity to engage with our faculty and explore real-world applications of computational methods in neuroscience.
With new funding from the National Institute on Aging, Neda Jahanshad, PhD, and our Laboratory of Brain eScience (LoBeS) will utilize AI and brain scans to track the progression of Alzheimer’s disease—and how lifestyle factors, such as diet and exercise, may help. The goal is to develop personalized, brain-wide prediction tools to guide early treatment and prevention.
Dr. Jahanshad has also been selected to join the global CARE (Cutting Alzheimer’s Risk through Endocrinology) program from Wellcome Leap, a leading organization that funds unconventional scientific breakthroughs. She will lead a groundbreaking three-year project aimed at better understanding how menopause and modifiable lifestyle factors influence brain aging in women.
New Funding
Neda Jahanshad, PhD
Summer 2025
Recent Visualizations
Danny JJ Wang, PhD, played a leading role in the 2025 SMARTA MRI Workshop in Lagos, Nigeria. He led sessions on arterial spin labeling (ASL) techniques and data analysis, supporting the workshop’s mission to expand MRI access and training across Africa. His contributions reflect our ongoing commitment to global education, equitable access to imaging technologies, and capacity building in resource-limited settings.
At the 2025 Organization for Human Brain Mapping (OHBM) annual meeting, Stevens INI Associate Director Paul M. Thompson, PhD, delivered the prestigious Talairach Lecture, outlining a bold vision for harnessing artificial intelligence and worldwide collaboration to combat brain diseases.
Honor Roll
Christina Choi
Andrew Kim
Zhaoyang Fan, PhD
Christina Azevedo, MD, MPH, FAAN
Pascal Sati, PhD
Neda Jahanshad, PhD, was selected as the 2025 OHBM Open Science Award Winner. The award was presented at the Organization for Human Brain Mapping (OHBM) annual meeting in Brisbane, Australia. Dr. Jahanshad was recognized for her significant contributions to open science practices in the field of human brain mapping.
Dr. Thompson has also been selected as the recipient of the 2025 Gold Medal Award from the Society of Biological Psychiatry (SOBP). This prestigious honor recognizes individuals whose groundbreaking work has significantly advanced the field of biological psychiatry.
Awarded by our Institute, the 7T MRI Discovery Award supports innovative pilot projects that leverage the power of ultra-high-field 7 Tesla MRI to advance neuroscience research.
Dr. Fan’s winning proposal focuses on improving care for patients with mild traumatic brain injury (mTBI), which accounts for over 90% of TBI cases seen in hospitals. While considered “mild,” up to 30% of adults with mTBI experience lasting cognitive issues beyond three months. Dr. Fan aims to refine a novel hybrid perfusion and permeability MRI technique at 7T and evaluate its potential to predict cognitive outcomes six months after injury—paving the way for earlier interventions and better long-term care.
Drs. Azevedo and Sati are using advanced brain imaging with 7T MRI to get a closer look at the damage inside MS lesions and how well that tissue might heal. Multiple sclerosis (MS) is the most common cause of non-traumatic neurologic disability in young adults in the US. MS affects people in very different ways, making it hard to predict how the disease will progress or how well someone will respond to treatment. Their work could lead to new ways of using MRI to track disease severity and evaluate treatments in future clinical trials.
Congratulations to Zhaoyang Fan, PhD, Christina Azevedo, MD, MPH, FAAN, and Pascal Sati, PhD, recipients of this year’s 7T MRI Discovery Award!
USC Stevens Neuroimaging and Informatics Institute
Keck School of Medicine of USC
University of Southern California
323-44-BRAIN (323-442-7246)
About INI
About INI
Facilities
Core Resources
Contact
Contact us
Terms of Use
Privacy Policy
Powered by
INI
LONI
NIIN
CIC
CIA
IGC
License Agreement
People
Careers
People
Careers
Other Cool Stuff
Support the INI
Other Cool Stuff
Support Us
Subscribe to Newsletter
News & Reports
News & Reports
In This Issue
USC Mark and
Mary Stevens
Neuroimaging
and Informatics
Institute
USC Mark and
Mary Stevens
Neuroimaging
and Informatics
Institute
NEWSLETTER
Featured Press Releases
Neda Jahanshad, PhD, was selected as the 2025 OHBM Open Science Award Winner. The award was presented at the Organization for Human Brain Mapping (OHBM) annual meeting in Brisbane, Australia. Dr. Jahanshad was recognized for her significant contributions to open science practices in the field of human brain mapping.
With new funding from the National Institute on Aging, Neda Jahanshad, PhD, and our Labora-tory of Brain eScience (LoBeS) will utilize AI and brain scans to track the progression of Alzheimer’s disease—and how lifestyle factors, such as diet and exercise, may help. The goal is to develop personalized, brain-wide prediction tools to guide early treatment and prevention.
Dr. Jahanshad has also been selected to join the global CARE (Cutting Alzheimer’s Risk through Endocrinology) program from Wellcome Leap, a leading organization that funds unconventional scientific breakthroughs. She will lead a groundbreaking three-year project aimed at better understanding how menopause and modifiable lifestyle factors influence brain aging in women.
New Funding
Summer 2025
Dr. Thompson has also been selected as the recipient of the 2025 Gold Medal Award from the Society of Biological Psychiatry (SOBP). This prestigious honor recognizes individuals whose groundbreaking work has significantly advanced the field of biological psychiatry.
Danny JJ Wang, PhD, played a leading role in the 2025 SMARTA MRI Workshop in Lagos, Nigeria. He led sessions on arterial spin labeling (ASL) techniques and data analysis, supporting the workshop’s mission to expand MRI access and training across Africa. His contributions reflect our ongoing commitment to global education, equitable access to imaging technologies, and capacity building in resource-limited settings.
At the 2025 Organization for Human Brain Mapping (OHBM) annual meeting, Stevens INI Associate Director Paul M. Thompson, PhD, delivered the prestigious Talairach Lecture, outlining a bold vision for harnessing artificial intelligence and worldwide collaboration to combat brain diseases.
Honor Roll
Awarded by our Institute, the 7T MRI Discovery Award supports innovative pilot projects that leverage the power of ultra-high-field 7 Tesla MRI to advance neuroscience research.
Dr. Fan’s winning proposal focuses on improving care for patients with mild traumatic brain injury (mTBI), which accounts for over 90% of TBI cases seen in hospitals. While considered “mild,” up to 30% of adults with mTBI experience lasting cognitive issues beyond three months. Dr. Fan aims to refine a novel hybrid perfusion and permeability MRI technique at 7T and evaluate its potential to predict cognitive outcomes six months after injury—paving the way for earlier interventions and better long-term care.
Drs. Azevedo and Sati are using advanced brain imaging with 7T MRI to get a closer look at the damage inside MS lesions and how well that tissue might heal. Multiple sclerosis (MS) is the most common cause of non-traumatic neurologic disability in young adults in the US. MS affects people in very different ways, making it hard to predict how the disease will progress or how well someone will respond to treatment. Their work could lead to new ways of using MRI to track disease severity and evaluate treatments in future clinical trials.
Congratulations to Zhaoyang Fan, PhD, Christina Azevedo, MD, MPH, FAAN, and Pascal Sati, PhD, recipients of this year’s 7T MRI Discovery Award!
New research from Victoria R. Tennant, a PhD candidate in USC’s Neuroscience Graduate Program, and Meredith N. Braskie, PhD, has identified a new brain imaging benchmark that may improve how researchers classify biologically meaningful changes associated with Alzheimer’s disease, especially in Hispanic and non-Hispanic white populations. The new study, published in Imaging Neuroscience, is part of the Health and Aging Brain Study–Health Disparities (HABS-HD), a multi-university collaboration led by the University of North Texas Health Science Center and supported by the National Institute on Aging.
A new brain imaging benchmark to classify changes associated with Alzheimer’s disease
We’re proud to share new research from Amaryllis Tsiknia, a PhD candidate in USC’s Neuroscience Graduate Program, and Meredith N. Braskie, PhD, revealing a significant link between type 2 diabetes and brain health in older adults. Using neuroimaging data from a large, diverse cohort, the study found that individuals with type 2 diabetes had thinner cortices in regions critical for memory and cognition. These findings underscore the importance of blood sugar management in protecting brain health and highlight the need for tailored interventions across different populations.
A significant link between type 2 diabetes and brain health in older adults
This animation shows how focused ultrasound and tiny microbubbles can temporarily open the brain’s protective barrier, making it easier and safer to deliver treatments directly to the brain without surgery.
Discover how the Stevens INI became a global leader in brain research. Our 10th Anniversary Lookbook offers a stunning visual journey through ten years of innovation, collaboration, and impact—take a look inside!
A mass of white matter tracts in the human brain.
Using a special type of MRI scan, we found that blood flow in the brain gradually decreases across the stages of Alzheimer’s disease. This drop is most noticeable in areas linked to memory and thinking.
Neda Jahanshad, PhD, completed Chapter 33, Multicenter studies and harmonization: Problems, solutions, and open challenges in the new Handbook of Diffusion MR Tractography. Combining diffusion magnetic resonance imaging (dMRI) across scanners and sites can improve our understanding of the human brain in health and disease. But differences in how the data are collected make it hard to analyze everything together. This chapter examines the origins of these differences, the approaches researchers take to address them, and the challenges that remain as brain imaging studies expand in scope.
Publications by several Institute members were recognized as among the top 10% of most-viewed papers published by Wiley in 2023:
Transformer-based deep learning denoising of single and multi-delay 3D arterial spin labeling
Retinal perfusion is linked to cognition and brain MRI biomarkers in Black Americans
Weakly supervised perivascular spaces segmentation with salient guidance of Frangi filter
Comparison of genetic and health risk factors for mild cognitive impairment and Alzheimer’s disease between Hispanic and non-Hispanic white participants
Publication Spotlight
Education
Congratulations to Christina Choi for her USC Provost Research Fellowship! Christina will work with Hosung Kim, PhD, on her project.
“My study uses advanced brain imaging to explore whether problems with the brain’s waste-clearing system are linked to early buildup of a protein called alpha-synuclein and changes in dopamine function—both of which may play a role in the early stages of Parkinson’s disease (PD). Identifying such correlations could help establish novel biomarkers for early PD progression.”
Congratulations also to Andrew Kim for his Parkinson’s Foundation grant! Andrew will also work with Hosung Kim, PhD, on his project.
“My project investigates the role of the brain’s glymphatic system in the early stages of Parkinson’s disease (PD). By analyzing imaging data, I aim to identify whether dysfunction in this waste-clearance system correlates with dopamine loss and clinical symptoms. If successful, this research could establish glymphatic function as a novel biomarker for early diagnosis and potential therapeutic intervention in PD.”
Neda Jahanshad, PhD
Recent Visualizations
Christina Choi
Andrew Kim
Zhaoyang Fan, PhD
Christina Azevedo, MD, MPH, FAAN
Pascal Sati, PhD
Students from Occidental College visited the Institute as a part of their computational neuroscience course. They gained firsthand exposure to our cutting-edge neuroimaging technologies and discussed data science applications in brain research. The visit offers a unique opportunity to engage with our faculty and explore real-world applications of computational methods in neuroscience.
USC Stevens Neuroimaging and Informatics Institute
Keck School of Medicine of USC
University of Southern California
323-44-BRAIN (323-442-7246)
About INI
About INI
Facilities
Core Resources
Contact
Contact us
Powered by
INI
LONI
NIIN
CIC
CIA
IGC
Terms of Use
Privacy Policy
License Agreement
People
Careers
People
Careers
Other Cool Stuff
Support the INI
Other Cool Stuff
Support Us
Subscribe to Newsletter
News & Reports
News & Reports
USC Mark and Mary Stevens
Neuroimaging and Informatics Institute
NEWSLETTER
Featured Press Releases
Neda Jahanshad, PhD, was selected as the 2025 OHBM Open Science Award Winner. The award was presented at the Organization for Human Brain Mapping (OHBM) annual meeting in Brisbane, Australia. Dr. Jahanshad was recognized for her significant contributions to open science practices in the field of human brain mapping.
With new funding from the National Institute on Aging, Neda Jahanshad, PhD, and our Laboratory of Brain eScience (LoBeS) will utilize AI and brain scans to track the progression of Alzheimer’s disease—and how lifestyle factors, such as diet and exercise, may help. The goal is to develop personalized, brain-wide prediction tools to guide early treatment and prevention.
Dr. Jahanshad has also been selected to join the global CARE (Cutting Alzheimer’s Risk through Endocrinology) program from Wellcome Leap, a leading organization that funds unconventional scientific breakthroughs. She will lead a groundbreaking three-year project aimed at better understanding how menopause and modifiable lifestyle factors influence brain aging in women.
New Funding
Summer 2025
Dr. Thompson has also been selected as the recipient of the 2025 Gold Medal Award from the Society of Biological Psychiatry (SOBP). This prestigious honor recognizes individuals whose groundbreaking work has significantly advanced the field of biological psychiatry.
Danny JJ Wang, PhD, played a leading role in the 2025 SMARTA MRI Workshop in Lagos, Nigeria. He led sessions on arterial spin labeling (ASL) techniques and data analysis, supporting the workshop’s mission to expand MRI access and training across Africa. His contributions reflect our ongoing commitment to global education, equitable access to imaging technologies, and capacity building in resource-limited settings.
At the 2025 Organization for Human Brain Mapping (OHBM) annual meeting, Stevens INI Associate Director Paul M. Thompson, PhD, delivered the prestigious Talairach Lecture, outlining a bold vision for harnessing artificial intelligence and worldwide collaboration to combat brain diseases.
Honor Roll
Awarded by our Institute, the 7T MRI Discovery Award supports innovative pilot projects that leverage the power of ultra-high-field 7 Tesla MRI to advance neuroscience research.
Dr. Fan’s winning proposal focuses on improving care for patients with mild traumatic brain injury (mTBI), which accounts for over 90% of TBI cases seen in hospitals. While considered “mild,” up to 30% of adults with mTBI experience lasting cognitive issues beyond three months. Dr. Fan aims to refine a novel hybrid perfusion and permeability MRI technique at 7T and evaluate its potential to predict cognitive outcomes six months after injury—paving the way for earlier interventions and better long-term care.
Drs. Azevedo and Sati are using advanced brain imaging with 7T MRI to get a closer look at the damage inside MS lesions and how well that tissue might heal. Multiple sclerosis (MS) is the most common cause of non-traumatic neurologic disability in young adults in the US. MS affects people in very different ways, making it hard to predict how the disease will progress or how well someone will respond to treatment. Their work could lead to new ways of using MRI to track disease severity and evaluate treatments in future clinical trials.
Congratulations to Zhaoyang Fan, PhD, Christina Azevedo, MD, MPH, FAAN, and Pascal Sati, PhD, recipients of this year’s 7T MRI Discovery Award!
New research from Victoria R. Tennant, a PhD candidate in USC’s Neuroscience Graduate Program, and Meredith N. Braskie, PhD, has identified a new brain imaging benchmark that may improve how researchers classify biologically meaningful changes associated with Alzheimer’s disease, especially in Hispanic and non-Hispanic white populations. The new study, published in Imaging Neuroscience, is part of the Health and Aging Brain Study–Health Disparities (HABS-HD), a multi-university collaboration led by the University of North Texas Health Science Center and supported by the National Institute on Aging.
A new brain imaging benchmark to classify changes associated with Alzheimer’s disease
We’re proud to share new research from Amaryllis Tsiknia, a PhD candidate in USC’s Neuroscience Graduate Program, and Meredith N. Braskie, PhD, revealing a significant link between type 2 diabetes and brain health in older adults. Using neuroimaging data from a large, diverse cohort, the study found that individuals with type 2 diabetes had thinner cortices in regions critical for memory and cognition. These findings underscore the importance of blood sugar management in protecting brain health and highlight the need for tailored interventions across different populations.
A significant link between type 2 diabetes and brain health in older adults
This animation shows how focused ultrasound and tiny microbubbles can temporarily open the brain’s protective barrier, making it easier and safer to deliver treatments directly to the brain without surgery.
Discover how the Stevens INI became a global leader in brain research. Our 10th Anniversary Lookbook offers a stunning visual journey through ten years of innovation, collaboration, and impact—take a look inside!
A mass of white matter tracts in the human brain.
Using a special type of MRI scan, we found that blood flow in the brain gradually decreases across the stages of Alzheimer’s disease. This drop is most noticeable in areas linked to memory and thinking.
Neda Jahanshad, PhD, completed Chapter 33, Multicenter studies and harmonization: Problems, solutions, and open challenges in the new Handbook of Diffusion MR Tractography. Combining diffusion magnetic resonance imaging (dMRI) across scanners and sites can improve our understanding of the human brain in health and disease. But differences in how the data are collected make it hard to analyze everything together. This chapter examines the origins of these differences, the approaches researchers take to address them, and the challenges that remain as brain imaging studies expand in scope.
Publications by several Institute members were recognized as among the top 10% of most-viewed papers published by Wiley in 2023:
Transformer-based deep learning denoising of single and multi-delay 3D arterial spin labeling
Retinal perfusion is linked to cognition and brain MRI biomarkers in Black Americans
Weakly supervised perivascular spaces segmentation with salient guidance of Frangi filter
Comparison of genetic and health risk factors for mild cognitive impairment and Alzheimer’s disease between Hispanic and non-Hispanic white participants
Publication Spotlight
Education
Congratulations to Christina Choi for her USC Provost Research Fellowship! Christina will work with Hosung Kim, PhD, on her project.
“My study uses advanced brain imaging to explore whether problems with the brain’s waste-clearing system are linked to early buildup of a protein called alpha-synuclein and changes in dopamine function—both of which may play a role in the early stages of Parkinson’s disease (PD). Identifying such correlations could help establish novel biomarkers for early PD progression.”
Congratulations also to Andrew Kim for his Parkinson’s Foundation grant! Andrew will also work with Hosung Kim, PhD, on his project.
“My project investigates the role of the brain’s glymphatic system in the early stages of Parkinson’s disease (PD). By analyzing imaging data, I aim to identify whether dysfunction in this waste-clearance system correlates with dopamine loss and clinical symptoms. If successful, this research could establish glymphatic function as a novel biomarker for early diagnosis and potential therapeutic intervention in PD.”
Students from Occidental College visited the Institute as a part of their computational neuroscience course. They gained firsthand exposure to our cutting-edge neuroimaging technologies and discussed data science applications in brain research. The visit offers a unique opportunity to engage with our faculty and explore real-world applications of computational methods in neuroscience.
Neda Jahanshad, PhD
Recent Visualizations
Christina Choi
Andrew Kim
Zhaoyang Fan, PhD
Christina Azevedo, MD, MPH, FAAN
Pascal Sati, PhD
USC Stevens Neuroimaging and Informatics Institute
Keck School of Medicine of USC
University of Southern California
323-44-BRAIN (323-442-7246)
About INI
About INI
Facilities
Core Resources
Contact
Contact us
Powered by
INI
LONI
NIIN
CIC
CIA
IGC
Terms of Use
Privacy Policy
License Agreement
People
Careers
People
Careers
Other Cool Stuff
Support the INI
Other Cool Stuff
Support Us
Subscribe to Newsletter
News & Reports
News & Reports
USC Mark and Mary Stevens
Neuroimaging and Informatics Institute
USC Mark and Mary Stevens
Neuroimaging and Informatics Institute
NEWSLETTER
Featured Press Releases
Neda Jahanshad, PhD, was selected as the 2025 OHBM Open Science Award Winner. The award was presented at the Organization for Human Brain Mapping (OHBM) annual meeting in Brisbane, Australia. Dr. Jahanshad was recognized for her significant contributions to open science practices in the field of human brain mapping.
With new funding from the National Institute on Aging, Neda Jahanshad, PhD, and our Laboratory of Brain eScience (LoBeS) will utilize AI and brain scans to track the progression of Alzheimer’s disease—and how lifestyle factors, such as diet and exercise, may help. The goal is to develop personalized, brain-wide prediction tools to guide early treatment and prevention.
Dr. Jahanshad has also been selected to join the global CARE (Cutting Alzheimer’s Risk through Endocrinology) program from Wellcome Leap, a leading organization that funds unconventional scientific breakthroughs. She will lead a groundbreaking three-year project aimed at better understanding how menopause and modifiable lifestyle factors influence brain aging in women.
New Funding
Summer 2025
Dr. Thompson has also been selected as the recipient of the 2025 Gold Medal Award from the Society of Biological Psychiatry (SOBP). This prestigious honor recognizes individuals whose groundbreaking work has significantly advanced the field of biological psychiatry.
Danny JJ Wang, PhD, played a leading role in the 2025 SMARTA MRI Workshop in Lagos, Nigeria. He led sessions on arterial spin labeling (ASL) techniques and data analysis, supporting the workshop’s mission to expand MRI access and training across Africa. His contributions reflect our ongoing commitment to global education, equitable access to imaging technologies, and capacity building in resource-limited settings.
At the 2025 Organization for Human Brain Mapping (OHBM) annual meeting, Stevens INI Associate Director Paul M. Thompson, PhD, delivered the prestigious Talairach Lecture, outlining a bold vision for harnessing artificial intelligence and worldwide collaboration to combat brain diseases.
Honor Roll
Awarded by our Institute, the 7T MRI Discovery Award supports innovative pilot projects that leverage the power of ultra-high-field 7 Tesla MRI to advance neuroscience research.
Dr. Fan’s winning proposal focuses on improving care for patients with mild traumatic brain injury (mTBI), which accounts for over 90% of TBI cases seen in hospitals. While considered “mild,” up to 30% of adults with mTBI experience lasting cognitive issues beyond three months. Dr. Fan aims to refine a novel hybrid perfusion and permeability MRI technique at 7T and evaluate its potential to predict cognitive outcomes six months after injury—paving the way for earlier interventions and better long-term care.
Drs. Azevedo and Sati are using advanced brain imaging with 7T MRI to get a closer look at the damage inside MS lesions and how well that tissue might heal. Multiple sclerosis (MS) is the most common cause of non-traumatic neurologic disability in young adults in the US. MS affects people in very different ways, making it hard to predict how the disease will progress or how well someone will respond to treatment. Their work could lead to new ways of using MRI to track disease severity and evaluate treatments in future clinical trials.
Congratulations to Zhaoyang Fan, PhD, Christina Azevedo, MD, MPH, FAAN, and Pascal Sati, PhD, recipients of this year’s 7T MRI Discovery Award!
New research from Victoria R. Tennant, a PhD candidate in USC’s Neuroscience Graduate Program, and Meredith N. Braskie, PhD, has identified a new brain imaging benchmark that may improve how researchers classify biologically meaningful changes associated with Alzheimer’s disease, especially in Hispanic and non-Hispanic white populations. The new study, published in Imaging Neuroscience, is part of the Health and Aging Brain Study–Health Disparities (HABS-HD), a multi-university collaboration led by the University of North Texas Health Science Center and supported by the National Institute on Aging.
A new brain imaging benchmark to classify changes associated with Alzheimer’s disease
We’re proud to share new research from Amaryllis Tsiknia, a PhD candidate in USC’s Neuroscience Graduate Program, and Meredith N. Braskie, PhD, revealing a significant link between type 2 diabetes and brain health in older adults. Using neuroimaging data from a large, diverse cohort, the study found that individuals with type 2 diabetes had thinner cortices in regions critical for memory and cognition. These findings underscore the importance of blood sugar management in protecting brain health and highlight the need for tailored interventions across different populations.
A significant link between type 2 diabetes and brain health in older adults
This animation shows how focused ultrasound and tiny microbubbles can temporarily open the brain’s protective barrier, making it easier and safer to deliver treatments directly to the brain without surgery.
Discover how the Stevens INI became a global leader in brain research. Our 10th Anniversary Lookbook offers a stunning visual journey through ten years of innovation, collaboration, and impact—take a look inside!
A mass of white matter tracts in the human brain.
Using a special type of MRI scan, we found that blood flow in the brain gradually decreases across the stages of Alzheimer’s disease. This drop is most noticeable in areas linked to memory and thinking.
Neda Jahanshad, PhD, completed Chapter 33, Multicenter studies and harmonization: Problems, solutions, and open challenges in the new Handbook of Diffusion MR Tractography. Combining diffusion magnetic resonance imaging (dMRI) across scanners and sites can improve our understanding of the human brain in health and disease. But differences in how the data are collected make it hard to analyze everything together. This chapter examines the origins of these differences, the approaches researchers take to address them, and the challenges that remain as brain imaging studies expand in scope.
Publications by several Institute members were recognized as among the top 10% of most-viewed papers published by Wiley in 2023:
Transformer-based deep learning denoising of single and multi-delay 3D arterial spin labeling
Retinal perfusion is linked to cognition and brain MRI biomarkers in Black Americans
Weakly supervised perivascular spaces segmentation with salient guidance of Frangi filter
Comparison of genetic and health risk factors for mild cognitive impairment and Alzheimer’s disease between Hispanic and non-Hispanic white participants
Publication Spotlight
Education
Congratulations to Christina Choi for her USC Provost Research Fellowship! Christina will work with Hosung Kim, PhD, on her project.
Neda Jahanshad, PhD
Recent Visualizations
Christina Choi
Andrew Kim
Zhaoyang Fan, PhD
Christina Azevedo, MD, MPH, FAAN
Pascal Sati, PhD
“My study uses advanced brain imaging to explore whether problems with the brain’s waste-clearing system are linked to early buildup of a protein called alpha-synuclein and changes in dopamine function—both of which may play a role in the early stages of Parkinson’s disease (PD). Identifying such correlations could help establish novel biomarkers for early PD progression.”
Congratulations also to Andrew Kim for his Parkinson’s Foundation grant! Andrew will also work with Hosung Kim, PhD, on his project.
“My project investigates the role of the brain’s glymphatic system in the early stages of Parkinson’s disease (PD). By analyzing imaging data, I aim to identify whether dysfunction in this waste-clearance system correlates with dopamine loss and clinical symptoms. If successful, this research could establish glymphatic function as a novel biomarker for early diagnosis and potential therapeutic intervention in PD.”
Students from Occidental College visited the Institute as a part of their computational neuroscience course. They gained firsthand exposure to our cutting-edge neuroimaging technologies and discussed data science applications in brain research. The visit offers a unique opportunity to engage with our faculty and explore real-world applications of computational methods in neuroscience.